导航
您当前的位置: 首页» 学院新闻
Nat Commun丨南昌大学陈晔光团队研究发现巴豆酸通过HBO1介导的H3K14巴豆酰化促进损伤后的肠道再生
发布人:admin  发布时间:2025-10-14

iNature

肠上皮在隐窝基底部的Lgr5+肠干细胞的驱动下经历快速更新,并可在损伤后恢复。组蛋白巴豆酰化在染色质调控和基因表达中起着关键作用。然而,组蛋白巴豆酰化,特别是H3K14巴豆酰化(H3K14cr)在肠道中的作用仍不清楚。
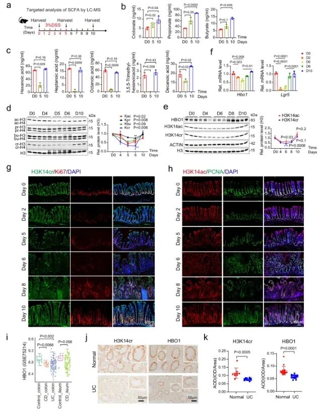
2025 年 10 月 2 日,南昌大学陈晔光独立通讯在 Nature Communications 在线发表题为Crotonate enhances intestinal regeneration after injury via HBO1-mediated H3K14 crotonylation的研究论文。该研究证明,在再生隐窝中,巴豆酸和H3K14cr水平均升高。巴豆酸钠治疗可显著缓解葡聚糖硫酸钠诱导的结肠炎,这一作用主要依赖于HBO1介导的H3K14cr。
值得注意的是,HBO1缺乏会严重抑制再生,这与H3K14ac和H3K14cr水平降低、转录起始位点染色质可及性降低以及干细胞和胎儿基因表达受损相关。单细胞RNA测序分析表明,HBO1在辐射后恢复过程中的干细胞和再生细胞中均有表达,这进一步支持了HBO1在肠道再生中的关键作用。综上所述,本研究揭示了巴豆酸、HBO1和H3K14cr促进上皮再生的机制,并提示巴豆酸可能是一种治疗胃肠道疾病的有前景的治疗药物。

图片
哺乳动物肠道上皮每3-5天更新一次,位于隐窝底部的Lgr5+肠道干细胞(ISC)不断增殖以维持这种快速更新。ISC具有自我更新能力,并能产生过渡扩增(TA)细胞,这些细胞快速分裂并分化为吸收细胞(肠细胞)或分泌细胞(潘氏细胞、杯状细胞和肠内分泌细胞)。ISC和TA细胞的高增殖率使其易受急性炎症、化疗或放疗的损伤。ISC和TA细胞受损或丢失后,一些分化的上皮细胞表现出可塑性,并可进行去分化以恢复驻留的ISC,这对于再生至关重要。例如,Dll1+、Atoh1+分泌型祖细胞、Lyz1+潘氏细胞和Alpi+肠细胞祖细胞已被证明具有可塑性,能够在损伤后重新填充Lgr5+肠道干细胞。此外,“+4”保留干细胞和Clu+复苏干细胞也已被提出用于再生受损肠道。再生肠上皮的一个显著特性是其获得了类似胎儿的转录组,这在蠕虫感染、辐射(IR)或葡聚糖硫酸钠(DSS)诱导的结肠炎中均有观察到。包括Wnt、Notch和YAP/TAZ信号在内的多种信号通路已被充分证实有助于再生。然而,这种主动再生过程是如何调控的,目前仍不清楚。
组蛋白乙酰化 (Kac) 是一种由赖氨酸乙酰转移酶 (KAT) 催化并由去乙酰化酶 (HDAC) 去除的修饰,其通过促进染色质的可及性或为转录调控蛋白提供结合位点而与转录激活相关。高灵敏度质谱技术的进步已鉴定出多种组蛋白赖氨酸酰化修饰,包括丙酰化 (Kpr)、丁酰化 (Kbu)、巴豆酰化 (Kcr)、琥珀酰化 (Ksucc) 和乳酰化 (Kla) 等,所有这些修饰都参与转录调控。与乙酰化类似,这些酰基修饰依赖于各自的酰基辅酶 A (AcoA),而酰基辅酶 A 是细胞代谢中的中间代谢物。因此,组蛋白酰化不仅受修饰酶的调控,还受供体酰基辅酶 A 的可用性调控。短链脂肪酸 (SCFA),例如乙酸盐、丁酸盐和丙酸盐,在肠腔中含量丰富,由微生物发酵纤维产生,能够通过转化为酰基辅酶A或作为组蛋白去乙酰化酶 (HDAC) 的抑制剂来影响肠上皮组蛋白酰化。丁酸盐和丙酸盐已被充分证实具有促进肠道稳态和缓解结肠炎的作用。赖氨酸的分解代谢和脂肪酸的β-氧化可产生巴豆酰辅酶A。此外,循环中的巴豆酸可被ACSS2转化为巴豆酰辅酶A。巴豆酰化因其在结肠转录调控中的作用而备受关注。然而,上述组蛋白酰化是否能够调控损伤后的肠道再生尚不清楚。
本研究旨在阐明组蛋白酰化在肠上皮再生中的作用。通过光谱分析,研究人员观察到葡聚糖硫酸钠 (DSS) 处理后,延长的肠隐窝中巴豆酸、丁酸和丙酸水平显著增加。值得注意的是,作者观察到延长的肠隐窝中组蛋白巴豆酰化显著增加,但丁酸化和丙酸化没有增加,这表明组蛋白巴豆酰化在肠上皮再生中发挥着独特的作用。支持这一观点的是,口服巴豆酰辅酶 A 的前体巴豆酸钠 (NaCr) 可通过升高 H3K14cr 水平显著缓解 DSS 诱导的结肠炎,其作用主要依赖于 MYST 家族乙酰转移酶成员 HBO1。
图片
图 1 DSS 诱导结肠炎后,巴豆酸和 H3K14cr 在再生隐窝中发生动态变化(图源自Nature Communications
进一步的实验表明,HBO1缺乏会严重抑制DSS处理后的再生,并损害巴豆酸诱导的H3K14cr、染色质可及性以及肠道干细胞(ISC)特征基因和胎儿基因(例如Lgr5、Ascl2、Smoc2、Clu、Cd44、Anxa5和Gpr137b)的转录激活。通过单细胞RNA测序(scRNA-seq)分析,作者发现HBO1在肠道干细胞(ISC)和再生细胞中均有表达,并且是缺血再灌注(IR)再生所必需的。因此,本研究结果表明HBO1介导的H3K14cr对肠上皮再生至关重要,并强调巴豆酸是一种有前景的胃肠道疾病干预短链脂肪酸(SCFA)。

原文链接:
https://www.nature.com/articles/s41467-025-63869-2




南昌大学江西医学院基础医学院 版权所有 管理
地址:江西省南昌市红谷滩区学府大道1299号(前湖)
电话:0791-86361693 传真:0791-86361693
E-mail:bms@ncu.edu.cn luhaishan@ncu.edu.cn